Estetická stomatologie
Bělení zubů Philips Zoom WhiteSpeed
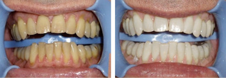
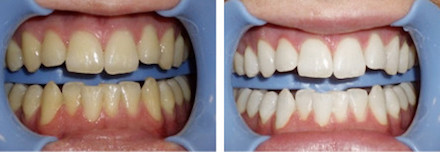
Ordinační bělení zubů Philips Zoom - WhiteSpeed účinně odstraňuje zabarvení skloviny způsobené konzumací barevných nápojů a potravin nebo kouřením.

Mimořádně efektivní, rychlé a bezbolestné
Tato metoda nemá na sklovinu sebemenší škodlivé účinky. Výsledný efekt vybělených zubů přetrvává několik let. Naše dentální hygienistka vám celý postup detailně vysvětlí a zaznamená odstín vašich zubů před zákrokem i po něm. Po skončení procedury tak můžete obě barvy porovnat.
- Celá návštěva trvá jen 75 minut.
- Procedura je šetrná k vašim zubům.
- Výsledek bělení zpozorujete okamžitě.
- Zuby vám pak vydrží bílé až 2 roky.
- Bělení zubů provádíme u klientů, kterým již bylo 18 let.
Jak probíhá bělení zubů v 6 krocích

1. krok
Nejprve s vámi podrobně rozebereme celý proces bělení zubů. Odpovíme na všechny vaše otázky a zaznamenáme současný odstín barvy zubů pro pozdější srovnání.

2. krok
Poté vám nasadíme ochranné brýle a do úst vložíme plastový retraktor. Rty vám ošetříme speciální vazelínou, abychom tak zamezili jejich vysychání během bělicí procedury.

3. krok
Mezi dáseň a sklovinu naneseme silikonovou bariéru, kterou vytvrdíme speciálním UV světlem. Tato ochranná bariéra pak zamezí kontaktu bělicího gelu s dásní.

4. krok
Jakmile budou vaše rty i dásně dokonale chráněné, přejdeme k samotnému bělení. Na sklovinu vám rovnoměrně aplikujeme bělicí gel tak, abychom pokryli každý zub.

5. krok
Poté vám dáme před ústa bělící lampu, která vaše zuby ozáří, a urychlí tak proces jejich bělení. Vaši sklovinu budeme takto nasvěcovat 3 × 15 minut.

6. krok
Nakonec odstraníme veškerý materiál z vašich úst a zaznamenáme nový odstín barvy vašich zubů. Společně pak porovnáme odstíny skloviny před a po bělení.
Reference
Co o nás říkají
